2023-11-10
来源: drugdu
321
作者:唐-特雷西,副主编
公司希望获得用于肺结核患者的sirturo的 ii 类变异申请批准。
强生公司旗下的杨森制药公司(janssen)宣布已向欧洲药品管理局(ema)提交了贝达喹啉(sirturo)的ii类变异申请,该药作为联合疗法的一部分,适用于五岁以上的成人和儿童耐多药结核分枝杆菌肺结核(tb)患者。今年 8 月,该药还向 fda 提交了补充新药申请(snda)。

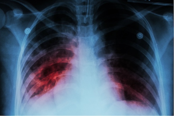
根据美国疾病预防控制中心(cdc)的数据,2022 年报告的结核病例约为 8,300 例,高于 2021 年的 7,874 例。 2022 年全球共有 130 万人死于结核病(包括 16.7 万名艾滋病毒感染者),该病被认为是继 covid-19 之后的第二大传染病杀手,仅次于艾滋病毒和艾滋病。
sirturo 是一种二芳基喹啉类抗结核药物,适用于肺 mdr-tb 成人患者的联合治疗。美国食品及药物监督管理局指出,sirturo 应仅用于无法以其他方式提供有效治疗方案的病例。
该药的 “警示与注意事项”(boxed warnings)包括增加死亡风险和发生 qt 延长。警告和注意事项部分还包括肝相关不良事件(aes)风险、药物相互作用、hiv-tb合并感染患者用药和治疗失败。sirturo 最常见的不良反应是恶心、关节痛、头痛以及咯血和胸痛。
杨森的申请包括其3期2阶段研究(nct02409290)的数据,该研究在美国属于上市后要求,在欧盟属于特定义务,在其他几个国家属于上市后承诺。据该公司称,其研究比较了全口服、为期 9 个月的含 sirturo 方案与为期 9 个月的注射治疗结核病(mdr-tb)的对照方案。
sirturo 于 2012 年 12 月首次获得美国食品药品监督管理局的加速批准,并在获得有效的 2 期研究数据后于 2014 年 3 月获得欧洲药品管理局的条件批准。sirturo于2012年12月首次获得美国食品药品监督管理局的加速批准,2014年3月获得欧洲药品管理局的有条件批准。如果该申请获得这两个机构的批准,它们将支持美国的传统批准和欧盟的全面批准。
责编: editor